клініка професійної кардіології та малоінвазивної кардіохірургії
Ваше здоров’я – наш пріоритет.
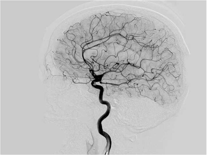
Що таке церебральна ангіографія
Церебральна ангіографія – це процедура, яка дає змогу перевірити наявність аномалій, звужень та бляшок у кровоносних судинах головного мозку методом рентгенологічного дослідження судин головного мозку та шиї.
Які переваги церебральної ангіографії
- Церебральна ангіографія може усунути необхідність у хірургічному втручанні та надає дуже точну картину судин головного мозку;
- результати церебральної ангіографії чіткіші, ніж результати ультразвукової доплерографії сонних артерій або іншої неінвазивної візуалізації кровоносних судин;
- використання катетера дозволяє поєднати діагностику та лікування в рамках однієї процедури;
- рентген зазвичай не має побічних ефектів у типовому діагностичному діапазоні для цього дослідження.
Покази до церебральної ангіографії
Лікарі виконують цю процедуру для виявлення або підтвердження таких аномалій у кровоносних судинах головного мозку або шиї:
- аневризма (патологічне розширення артеріальних судин);
- атеросклероз (звуження артерій);
- васкуліт (запалення кровоносних судин);
- пухлина головного мозку;
- розрив стінки артерії (розшарування судин);
- інсульт.
Церебральна ангіограма також виконується для діагностики при таких симптомах:
сильні головні болі
запаморочення
розмитий зір
порушення координації
Як підготуватися до церебральної ангіографії
Загальні рекомендації щодо підготовки до церебральної ангіографії включають:
дотримуйтесь всіх вказівок щодо прийому їжі і води до процедури;
консультація з лікарем щодо ліків, які ви приймаєте;
повідомте свого лікаря, якщо у вас коли-небудь була реакція на будь-який контрастний барвник або якщо у вас алергія на йод.
Ваш лікар перегляне історію хвороби (включаючи ліки, які ви приймаєте), проведе медичний огляд і обговорить з вами деталі процедури. Ваш лікар також може призначити виконати такі обстеження:
Список обстежень:
- загальний аналіз крові;
- біохімічний аналіз крові (креатинін, сечовина);
- ЕхоКГ (ехордіографія);
- УЗД судин шиї та голови.
Як виконують церебральну ангіографію
Перед початком процедури Вам буде встановлено катетер у вену (на руці або передпліччі) для введення седативного препарату. Однак, деяким пацієнтам може знадобитися загальна анестезія.
Ваша голова утримуватиметься на місці за допомогою ременя, щоб ви не могли завадити процедурі рухами головою під час процедури. Ваш лікар знеболить ділянку шкіри за допомогою місцевого анестетика.
Лікар зробить дуже маленький надріз у ділянці зап’ястя (рідше – в паховій ділянці). Під рентгенівським контролем катетер (довга тонка порожниста пластикова трубка) вводиться в кровоносну судину через крихітний отвір, зроблений голкою.
Потім через катетер вводять контрастну речовину. Коли контрастна речовина досягне кровоносних судин, буде зроблено кілька серій рентгенівських знімків. Коли процедуру буде завершено, лікар видалить катетер і накладе тиснучу пов’язку. Процедура зазвичай триває протягом 1-2 годин.
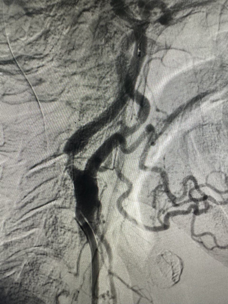
Екстракція тромбів із судин головного мозку
Що таке стентування сонних артерій
Стентування сонних артерій (CAS) – це процедура, яка виконується для відкриття звуженої сонної артерії. Вона полягає і розміщенні стенту (сітчаста трубка) в звужену артерію. Ця процедура також називається каротидною ангіопластикою.
Є дві сонні артерії (по одній з кожного боку шиї), які кровопостачають мозок. Ці артерії можуть бути звужені та пошкоджені жировими відкладеннями (атеросклеротичними бляшками). Ця бляшка може обмежити приплив крові до мозку, що підвищує ризик інсульту.
Стеноз сонної артерії до та після стентування
Чому виконують стентування сонних артерій
Стентування сонних артерій проводиться для зниження ризику інсульту.
Також цю процедуру рекомендують у випадку:
- ступінь звуження (стенозу) сонних артерій, коли просвіт артерії перекритий на 50% або більше;
- інсульт, який відбувся протягом останніх 6 місяців.
Як виконується стентування сонних артерій
Під час стентування сонної артерії в сонну артерію вставляється стент (невелика сітчаста трубка, що розширює артерію зсередини).
Для введення стенту лікар використовує іншу трубку, яка називається катетером. Лікар вводить катетер у кровоносну судину в паху чи зап’ясті і переміщає його до сонної артерії.
Усередині катетера знаходиться дуже тонкий провідник. Провідник використовується для переміщення балона та стента в сонну артерію. Балон поміщають усередину стенту і надувають. Це відкриває стент та притискає його до стінок артерії. Потім балон здувають та видаляють, залишаючи стент на місці.
Можливо, вам доведеться залишитись у лікарні на одну або дві доби після процедури.
Після процедури
Після виписки з лікарні Ви можете помітити синець або невелику припухлість у місці введення катетера. Щонайменше кілька днів Вам доведеться уникати тяжкого фізичного навантаження.
Вам, як і раніше, необхідно буде вести здоровий спосіб життя. Цей спосіб життя включає:
- вживання корисної їжі;
- активний спосіб життя;
- підтримання здорової ваги;
- відмова від шкідливих звичок.
Залишіть заявку на безкоштовну консультацію
Зв'яжіться з Нами
вулиця Верхня, 5, Київ, Україна, 01014 вулиця Менделєєва, 3, Черкаси, Україна, 18000